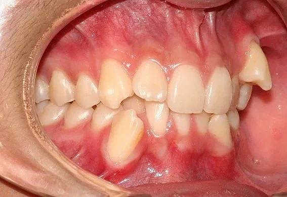
Caso 4
Las imágenes presentadas corresponden a casos clínicos reales y han sido cuidadosamente anonimizadas para garantizar la máxima confidencialidad del paciente.
Todos los datos sensibles han sido removidos o modificados, asegurando que la identidad del paciente no pueda ser revelada, en cumplimiento con las normativas éticas y legales que regulan la privacidad en la práctica odontológica. Esto permite compartir casos de manera profesional y responsable, respetando la confianza depositada por cada paciente.

